
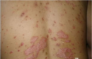
福州哪家医院看牛皮癣比较好?牛皮癣的诱发原因大多数人都了解,牛皮癣有遗传性,但并不是较好的。牛皮癣这种疾病发病原因复杂多变,儿童时期发病的患者很多就是因为这个原因,感冒、扁桃体发炎等呼吸道疾病也可引发牛皮癣。下面 起来看看福州华研皮肤科的医生是怎么说的吧!

受风寒侵袭而诱发牛皮癣复发的为数较多,由于居住环境潮湿,天气寒冷,可使本病发生或加重,因此患者应尽量避免大冷大热刺激皮肤,住室保持通风干燥。
感染是诱发牛皮癣复发的 个重要原因,尤其是感冒后,併发扁桃体炎,气管炎,需要积 治疗,尽量缩短病程,扁桃体反复发炎,与银屑病发作有密切关系者,可考虑扁桃体切除术,这 点对青少年患者尤为重要。
温馨提示:由于饮食或服用颗粒物,或接触某种物质而过敏,常可诱发牛皮癣的发生,患者每次复发后,需仔细回想近来曾服用了什么东西,或接触了某种物质,从而使皮肤发痒,继而出现红斑,那么这种物质,今后应尽量避免接触,比如,某些海产品,牛羊肉,辛辣事物及其它物质等。
上一篇:福州哪个牛皮癣医院 好
下一篇:福州 好的牛皮癣专科医院