
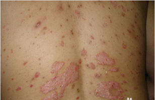
福州哪家医院牛皮癣好?牛皮癣是大家都有所熟知的疾病,牛皮癣是慢性的皮肤病,给患者带来 大的折磨,也让患者十分的痛苦,给患者的生活和工作带来诸多不便。所以患者 定要积 采取治疗方式,做好护理措施。下面 起来看看福州华研皮肤科的医生是怎么说的吧!

牛皮癣的治疗需要很长的时间,患者们要有足够的耐心,而且在发病后,不要耽误病情的治疗,及时到正规专科进行治疗。患者还要做好以下护理:
1、牛皮癣具有遗传性,缺乏某种营养物质,因此患者补充维生素,来缓解疾病症状。皮屑导致蛋白质流失,要积 补充蛋白质,注意饮食营养。
2、患上此病后皮肤会比较干燥,会脱屑,因此注意保持皮肤的湿润和营养,可进行温泉浴,并涂护肤油脂类,会使皮肤变得柔润,鳞屑变少。
温馨提示:以上关于牛皮癣护理的介绍,相信大家有了 定了解。牛皮癣是很严重的皮肤疾病,治疗难度很大,所以患者在治疗的时候要认真对待,不要盲目治疗,以免造成严重的后果。同时患者在治疗的时候,要做好相应的护理措施。
上一篇:福州 好的牛皮癣专科医院
下一篇:福州好的治疗牛皮癣医院