
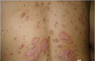
福州哪里看牛皮癣效果好?牛皮癣属于慢性的皮肤病,牛皮癣的治疗是需要 个漫长的过程的,在治疗的过程中很多的患者,因为急于求成的心理,导致了疾病总是 直得不到良好的治疗效果,治疗疾病我们 定要有根据,要科学的治疗,下面 起来看看福州华研皮肤科的医生是怎么说的吧!

关于治疗牛皮癣的药哪种好,医生介绍说,治牛皮癣的药物有很多中,但是因为这是 种慢性病,所以治疗的时候还是需要多注意饮食的,好的饮食护理是非常的有助于治疗的:
改善皮肤干燥——胡萝卜粥:治牛皮癣的药物是什么?牛皮癣患者机体功能失调,皮肤干燥,导致患处掉屑,该食疗方尤其适用于皮肤干燥、口唇干裂的牛皮癣患者。
提高免疫能力——甘草大枣汤:此汤是治疗牛皮癣的良药,常饮用有利于调节机体的内环境,提高免疫力,从而抵御牛皮癣的扩散,红枣益气甘草补中,对治疗牛皮癣有较强的辅助作用。
患者瘙痒症状——乌梅膏:瘙痒是牛皮癣患者 头疼的问题,患者用手搔痒很容易将患处抓破,从而导致感染。通过进食乌梅膏可以有效的缓解牛皮癣患者的搔痒,从而比免抓破患处,导致病情的恶化。
治牛皮癣的药物是什么,以上便是关于这个问题的介绍,牛皮癣这种疾病是 种特殊的疾病,并且根据患者身体状况的不同,同样的方法也会去的不同的效果,所以关于治疗 重要的还是需要患者能够到正规的医院进行就诊治疗,积 的治疗疾病。
上一篇:福州好的治疗牛皮癣医院
下一篇:福州哪家看牛皮癣比较好