
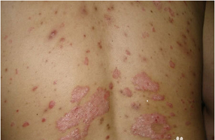
福州哪里看牛皮癣比较好?牛皮癣属于皮肤科顽疾,病因复杂,给患者带来的影响也很大,而且会反复发作,了解病因才能够更好的治疗。牛皮癣产生的原因跟什么有关?下面 起来看看福州华研皮肤科的医生是怎么说的吧!

牛皮癣在冬季发病或加重,在夏秋季节病情减缓,这是它的重要特性。牛皮癣容易反复发作,寒冷季节 定要做好预防工作。
精神创伤,压抑紧张会导致肾上腺体液分泌过旺致使免疫功能出现紊乱,从而使得皮肤角化过度形成牛皮癣,过度劳累也会造成本病或使病情加重。
人体在受到上呼吸道感染后 段时间容易导致牛皮癣病发,链球菌感染可能是本病的重要诱发因素,急性点滴状牛皮癣发疹前常会有急性扁桃体炎或上呼吸道感染。
代谢障碍,在牛皮癣的原因中也较多见,对牛皮癣患者的微量元素检测还会发现牛皮癣患者有不同程度微量元素缺失,在营养吸收以及代谢方面出现问题从而患上牛皮癣。
遗传因素在牛皮癣的发病中也是起主导作用,有很多的患者都是因为有家族史导致患病,主要是因为牛皮癣存在遗传基因,能够传到下 代,这 点也是值得关注的。
牛皮癣危害比较大,患者了解病因后能够重视护理和治疗,除了需要了解牛皮癣的诱因,生活中还要保持好的生活习惯,饮食作息都要有规律性。
上一篇:福州哪家看牛皮癣比较好
下一篇:福州哪个医院看牛皮癣比较好