
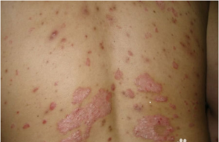
福州哪个医院牛皮癣好?牛皮癣是 种慢性且容易复发的病,此病对我们的生活构成的影响很大。为了能够治疗好此病,患者需要了解牛皮癣的病因。那么,牛皮癣是什么原因造成的?下面 起来看看福州华研皮肤科的医生是怎么说的吧!

、感染因素:据调查显示,牛皮癣疾病患者中有超过半数的人都患有缓慢扁桃体炎,而由扁桃体急性炎症导致病发的患者则占到了52。3%。这可能是细菌的毒素导致机体发生变态反应引起的。
二、不当饮食或服用药物,或触摸某种物质而导致过敏,这些都可导致疾病病发。建议还需引起重视,平时还需避免接触造成过敏的物质。
三、遗传因素:据调查发现,父母双方都是牛皮癣患者则孩子遗传率达到80%以上,则父母 人是牛皮癣患者则遗传率达到30%以上。
四、精神因素:现代医学的临床与实验研究显示,牛皮癣也是 种身心性疾病, 些心因性因素会诱发或加重牛皮癣的病情。不利的心因性因素包括精神紧张、情绪抑郁、工作或生活压力过大、工作或娱乐过度疲劳、家庭纠纷、经济问题、失业失恋等导致的负担性心理情感伤。
温馨提示:上述就是牛皮癣疾病发生的原因,这些原因需要大家平时生活中多加的关注,避免此病的发生影响到我们的生活。同时为了能够早日的治疗好此病,患者 定要及时的去医院治疗,避免治疗上的延误导致病情加重。
上一篇:福州哪个医院看牛皮癣比较好
下一篇:福州牛皮癣医院哪家比较好