您有一条新的消息

0591-83832226

当前位置:华研 > 牛皮癣 >

福州哪里治疗牛皮癣比较好

来源 : 福州·华研 浏览次数 : 138次

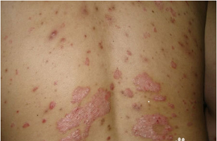
   福州哪里治疗牛皮癣比较好?牛皮癣是 种缓慢复发性炎症性皮肤病,以各种圆形,局限性,红斑性,干性鳞屑性斑为特点,皮损外表被覆灰白色或银白色,叠瓦状或板层状鳞屑。该病的呈现,对咱们的日常日子也会形成很大的影响。因而越早医治效果越好,但在医治的过程中,我们必定要注意 些事宜,避免 些过错的知道,导致牛皮癣的病症愈加严峻。下面 起来看看福州华研皮肤科的医师是怎样说的吧!

  医治牛皮癣需注意的事宜

   、正确知道牛皮癣
 
  牛皮癣是 种病因杂乱的皮肤疾病,很容易复发,所以,牛皮癣还是及早发现及早医治。
 
  二、勿有病乱投医
 
  有些牛皮癣患者由于对这种病症不了解,胡乱在 些小诊所,买 些药,这些药物的确又廉价收效又快,但相对的复发也快,乃至导致病况愈加严峻。因而主张患者宁可不治也不要乱治。
 
  三、切忌乱买药
 
  许多牛皮癣患者为了省时省钱,就自己到药店买药涂改,这是十分风险的,有些药物并不合适银屑病患者长期使用。并且引起牛皮癣的病因杂乱,每个患者的病因和诱因以及类型和分期都不同,那么,用药也不同。
 
  温馨提示:以上是福州华研皮肤病研究所的医师对“医治牛皮癣期间有哪些要注意的事宜呢”的介绍,信任会给您带来协助。如果您需求医治的话,必定要正规的医院进行医治,不要错失医治的黄金时期。
上一篇:福州哪家牛皮癣医院 好
下一篇:福州看牛皮癣去哪家医院好

点一点、知道更多信息

便民挂号平台 15秒即可完成预约挂号

>>更多

填写信息后点击提交,您即可预约完成,就诊免排队。

  • 姓名:就诊疾病:
  • 电话:就诊时间:

备案号:闽ICP备19002658号-27