
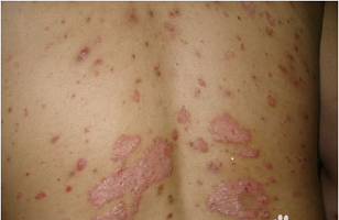
福州好的牛皮癣专科医院?牛皮癣属于皮肤科顽疾,病因复杂,给患者带来的影响也很大,而且会重复发作,理解病因才干够更好的治疗。牛皮癣产生的缘由跟什么有关?下面 同来看看福州华研皮肤科的医生是怎样说的吧!

牛皮癣在冬季发病或加重,在夏秋时节病情减缓,这是它的重要特性。牛皮癣容易重复发作,冰冷时节 定要做好预防工作。
肉体创伤,压制慌张会招致肾上腺体液分泌过旺致使免疫功用呈现紊乱,从而使得皮肤角化过度构成牛皮癣,过度劳累也会形成本病或使病情加重。
人体在遭到上呼吸道感染后 段时间容易招致牛皮癣病发,链球菌感染可能是本病的重要诱发要素,急性点滴状牛皮癣发疹前常会有急性扁桃体炎或上呼吸道感染。
代谢障碍,在牛皮癣的缘由中也较多见,对牛皮癣患者的微量元素检测还会发现牛皮癣患者有不同水平微量元素缺失,在营养吸收以及代谢方面呈现问题从而患上牛皮癣。
遗传要素在牛皮癣的发病中也是起主导作用,有很多的患者都是由于有家族史招致患病,主要是由于牛皮癣存在遗传基因,可以传到下 代,这 点也是值得关注的。
温馨提示:牛皮癣危害比拟大,患者理解病因后可以注重护理和治疗,除了需求理解牛皮癣的诱因,生活中还要坚持好的生活习气,饮食作息都要有规律性。
上一篇:福州牛皮癣治疗好的医院
下一篇:福州哪儿看牛皮癣比较好