
福州哪看牛皮癣比较好?牛皮癣是 种顽固的皮肤病,人体出现牛皮癣之后会非常痛苦难受,让病患的身体、心理备受折磨,发生了牛皮癣之后,必须要重视对病患的心理护理,对于牛皮癣病患朋友,下面几个心理问题希望大家引起重视,早日摆脱牛皮癣的困扰。下面 起来看看福州华研皮肤科的医生是怎么说的吧!

牛皮癣出现后如何调理心理?
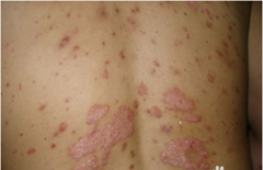
人体出现牛皮癣疾病之后,自尊心会受到重大损害,肌肤上会出现红色的斑丘,还有银白色的鳞屑,这些物质的出现都会严重影响牛皮癣病患肌肤的美观、健康,让病患朋友自信心、自尊心受到了严重影响,加上牛皮癣患者的肌肤容易坏死、脱落、瘙痒等等情况,让病患处于急躁、瘙痒痛苦的状态。
牛皮癣患者出现疾病之后,思想包袱特别重,不敢跟外人接触,相处,许多人觉得牛皮癣是传染性疾病,其实它属于遗传性疾病,也并非 遗传,所以大家思想负担 定不要太重,避免自卑、羞愧,不要给自己太大的负担。
牛皮癣病患朋友容易出现巨大心理压力,往往部分医生容易将病情夸大,导致病患内心压力特别大,甚至出现了恐慌心理,精神也非常紧张,长期发展下去对健康 为不利。
出现牛皮癣疾病之后,如果久治不愈的话,许多病患朋友内心出现抵抗的心理,让患者对银屑病失去治疗的信心,觉得花了钱也很难恢复,内心特别抗拒。
牛皮癣容易反反复复发生,对于每 位牛皮癣病患来说, 害怕的就是听到疾病复发,让病患压力特别大,所以 定要在生活中做好各方面的护理工作,避免牛皮癣的加重复发。
上一篇:福州哪里看痘痘好
下一篇:福州看牛皮癣去哪家医院