
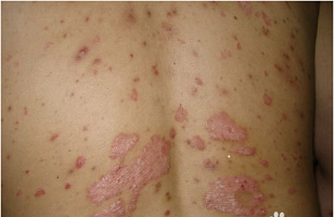
福州治牛皮癣哪里好?牛皮癣的初期症状是赤色丘疹或斑丘疹,今后逐渐扩大或交融成片,鲜红或深赤色,高出皮肤,底部滋润显着,边际清楚,周围有炎症红晕,外表覆盖多层 灰白色或银白色鳞屑,轻轻刮除外表鳞屑,渐渐露出 层淡赤色发亮的半透明薄膜,称为薄膜现象,这是角质层被剥落后露出的荆棘细胞层,若再刮除薄膜,会使真 皮乳头层顶部毛细血管被刮破,出现许多小出血点。下面 起来看看福州华研皮肤科的医生是怎样说的吧!

银屑病的症状和丘疹型玫瑰糠疹相类似:牛皮癣应该和丘疹型玫瑰糠疹差异开来,丘疹型玫瑰糠疹也是 种皮肤病,可是它比牛皮癣更好医治,并且 般医治后不会复发。
牛皮癣被误诊为玫瑰型自家灵敏性皮炎:这种病发病急骤,无前驱斑,多在下腹部或大腿内侧出现大片赤色斑片或斑丘疹,有剧痒,损害敏捷扩至躯干与四肢,这些损害渐渐在中央部位出现结痂性损害,痂皮掉落而呈玫瑰糖疹样皮损,这类病人可能是自家灵敏性反应所引起,故称之为玫瑰型自家灵敏性皮炎。与玫瑰 糖疹的关系还待进 步研讨。
牛皮癣还会和其它疾病想混杂,因此要知道牛皮癣的症状并能够很好的确诊,牛皮癣确诊关键:多见于中年,男性多见。皮损好发于躯干和四肢。皮损多 种形态,可认为点滴状、斑片状。常为大小不 的淡赤色及黄赤色斑,境界不很清楚,无显着滋润,其上被有少量鳞屑。发展较慢,呈缓慢经过。病人无自觉症状。 组织病理示表皮和真皮浅层有非特异性炎症。部分斑块状牛皮癣可发展成蕈样肉芽肿,需长期随访。
温馨提示:牛皮癣虽然有显着的特征,可是有的患者去 些小的诊所或不正规的地方确诊,形成误诊,当作普通的皮肤炎症处理,殊不知误诊或误治的结果常形成牛皮癣患者的病情延误、病势加剧及转型等。
上一篇:福州哪家看牛皮癣好
下一篇:福州哪看牛皮癣好