
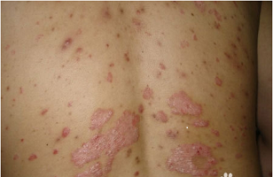
福州哪里看牛皮癣好?牛皮癣呈现在皮肤上也是比较常见的,并且不管是在前期还是后期,对咱们的影响都是影响 大的,并且对于成年人来说这种的症状就更加难以接受了,那么咱们成年人呈现牛皮癣要怎样办好呢?怎样做才能够防止这样的症状影响咱们的正常日子呢?下面 起来看看福州华研皮肤科的医师是怎样说的吧!

1、牛皮癣这种皮损多数呈现的时候表现为炎性赤色丘疹,巨细与板栗绿豆巨细症状,并且还有着扩大的症状,咱们都知道这是比较容易重复发生的病症,所以咱们要进步 下本身的免疫力,这样来防止病况再次加剧。
2、再有因为皮损呈现的部位以及影响较大,咱们要自觉留意防止感染,在平常要抑制 下本身 些不足的地方,比方饮食以及歇息习气等。
3、再有这牛皮癣会因为咱们的心里以及精神要素而引发,所以咱们要留意自己的日子恰当的舒缓本身的压力,防止因心境欠好而加剧病况。
温馨提示:以上是"成年人呈现牛皮癣要咋办"的介绍,患者要尽早到正规、专业的皮肤病医院进行治疗。
上一篇:福州哪家牛皮癣医院好呢
下一篇:福州牛皮癣哪个医院好