您有一条新的消息

0591-83832226

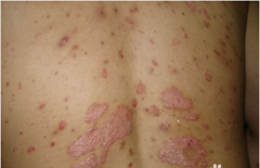
当前位置:华研 > 牛皮癣 >

福州哪家医院牛皮癣好

福州哪家医院牛皮癣好? 牛皮癣 是大家都有所熟知的疾病,牛皮癣是慢性的皮肤病,给患者带来 大的折磨,也让患者十分的痛苦>>>详细

福州 好的牛皮癣专科医院

福州 好的牛皮癣专科医院? 牛皮癣 是 种危害性较大的皮肤病,若不及时治疗不仅影响患者的个人形象,还可导致多种后果,严重>>>详细

福州哪家医院看牛皮癣比较好

福州哪家医院看牛皮癣比较好? 牛皮癣 的诱发原因大多数人都了解,牛皮癣有遗传性,但并不是较好的。牛皮癣这种疾病发病原因>>>详细

福州市牛皮癣哪家医院好

福州市牛皮癣哪家医院好? 牛皮癣 ,是 种常见的具有特征性皮损的慢性易于复发的炎症性皮肤>>>详细

福州看牛皮癣哪里好

福州看牛皮癣哪里好? 牛皮癣 不仅是个顽固难治的皮肤病,而且经常反复发作。且患处皮肤坚硬粗糙,瘙痒剧烈,给患者带来了无>>>详细

便民挂号平台 15秒即可完成预约挂号

>>更多

填写信息后点击提交,您即可预约完成,就诊免排队。

  • 姓名:就诊疾病:
  • 电话:就诊时间:

备案号:闽ICP备19002658号-27