

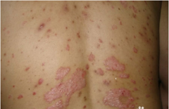
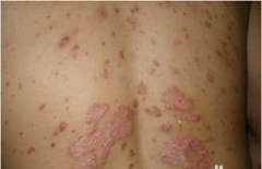
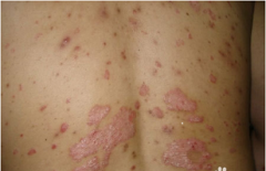
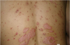
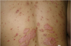
福州哪里治疗牛皮癣比较好? 牛皮癣 是 种缓慢复发性炎症性皮肤病,以各种圆形,局限性,红斑性,干性鳞屑性斑为特点,皮损>>>详细

福州牛皮癣医院哪家比较好?对于现在的很多的人来说,都是 个非常严重的问题,那就是有时候不是 痛苦的事情并不是患上疾病,>>>详细

福州哪个医院牛皮癣好? 牛皮癣 是 种慢性且容易复发的病,此病对我们的生活构成的影响很大。为了能够治疗好此病,患者需要>>>详细

福州哪里看牛皮癣比较好? 牛皮癣 属于皮肤科顽疾,病因复杂,给患者带来的影响也很大,而且会反复发作,了解病因才能够更好>>>详细

福州哪里看牛皮癣效果好? 牛皮癣 属于慢性的皮肤病,牛皮癣的治疗是需要 个漫长的过程的,在治疗的过程中很多的患者,因为>>>详细